Monday, August 9, 2010

Patient DD: Class I Progress (7/12/10-1/25/11) DEBONDED 6 months !

- Submitted by Dr. Rohit Sachdeva and Dr. Jeff Johnson

 

image

image

image

 

image

image image image

MACROS

 

TREATMENT PLAN

image

image

image

image

image

image

image

 

SMART BRACKET PLACEMENT

image 

image 

image

image

 

 

image

image

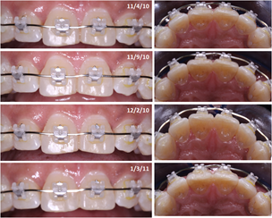
PROGRESS NOTES (8/12/10):

Dear colleagues,

These are the latest intraoral images taken on patient DD. Please note that lingual power chain has been placed to derotate the incisors. I do not believe this will be effective until additional space is gained with IPR. Also the fanning of the lower incisors is seen as a result of the bracket geometry of the lower laterals. This should work out with a heavier wire or as the incisors derotate. Again note that the overjet at the cuspid level is minimal adding to substantial constraints. Selective and strategic IPR are paramount in achieving successful alignment in a timely fashion in this particular situation. Best Rohit.

 

image

image

image

image

image

image

image

image

image

image 

image

 image

image

image

image

image

image

image

image

image

image

image

image

image

image

image

image

image

image 

image

image

image

image

image

image

image

image

image

image

image

image

image

image

image

image

image

image

image

image

image

image

image

image

image

image

image

image

Copyright © 2010-2011 SureSmile. All rights reserved. Redistribution of blog content is expressly prohibited without the prior written consent of SureSmile

No comments:

Post a Comment